ГОЛОВНА   >>  ЩО ТАКЕ ЕНДОВАСКУЛЯРНА ХІРУРГІЯ

Що таке ендоваскулярна хірургія

Ендоваскулярне лікування ішемічної хвороби серця

Ендоваскулярне лікування аневризми аорти

Ендоваскулярне лікування атеросклерозу артерій нижніх кінцівок

Ендоваскулярне лікування вазоренальної (ниркової) гіпертонії

Ендоваскулярне лікування фіброміоми (лейоміоми) матки

Ендоваскулярне лікування варикоцеле

Ендоваскулярне лікування варикозу вен тазу

Ендоваскулярне лікування ангіодисплазій

Ендоваскулярна хірургія - галузь мініінвазивної медицини, що розвивається швидкими темпами та дозволяє розширити сучасні лікувальні можливості і замінити традиційні хірургічні втручання.

Хто такі ендоваскулярні хірурги?
Катлаб

Ендоваскулярні хірурги – лікарі, які пройшли спеціалізацію на базі провідних центрів ендоваскулярної хірургії України та інших країн. Вони застосовують рентгеноскопічні, ультразвукові та інші методи зображення людського тіла для керування маленькими інструментами – катетерами (спеціально вигнутими трубками діаметром 1-3 мм). Катетери або інші ендоваскулярні (внутрішньосудинні) пристрої по судинах або інших шляхах можна підвести безпосередньо у ділянку захворювання і виконати діагностичну або лікувальну процедуру, яка часто замінює великі хірургічні операції. Введення катетера та інших інструментів здійснюється через невеликий прокол шкіри та не супроводжується розрізами. Ендваскулярні втручання, як правило, менш болючі і не викликають ускладнень, характерних для традиційних хірургічних втручань.

Які переваги ендоваскулярної хірургії?

- Ендоваскулярні діагностичні та лікувальні втручання виконуються амбулаторно або вимагають кількох днів госпіталізації.
- Загальний наркоз у переважній більшості випадків не потрібен.
- Операційний ризик, больовий синдром, час відновлення у порівнянні з традиційною хірургією суттєво нижче.
- Ендоваскулярні втручання здебільшого менш дорогі, ніж традиційні хірургічні операції.

ЕНДОВАСКУЛЯРНІ ВТРУЧАННЯ - КОРОТКИЙ ОГЛЯД

Найбільш поширеною ендоваскулярною процедурою на сьогоднішній день є діагностична ангіографія.
У разі виявлення звуження судини проводиться його дилятація чи стентування.
Якщо виявлено надлишкове кровопостачання будь-якого органу (пухлини, ангіодисплазії та ін) або патологічний кровотік (артеріовенозні шунти, варикоцеле) проводиться емболізація судин.
При виявленні патологічного розширення судини – аневризми можливе застосування внутрішньосудинного графта, що виключає аневризму із зони кровотоку.
У хворих з портальною гіпертензією (підвищення тиску у ворітній вені внаслідок утруднення кровотоку через печінку) можливе застосування методики TIPS – створення обхідного шляху кровотоку з воротної до печінкової вени. Це дозволяє знизити тиск у воротній вені та уникнути загрозливих для життя ускладнень.
У разі необхідності цільового введення препаратів в який-небудь орган (інфузії при гострому панкреатиті, хіміотерапія злоякісних пухлин) застосовується метод регіонарної хіміотерапії (установка катетера в потрібну артерію і введення препарату безпосередньо в хворий орган) та хіміоемболізація (введення в цю артерію хіміопрепаратів, змішаних з масляною контрастною речовиною або спеціальними частками – елютуючими емболами).
У разі виникнення тромбозу будь-якої судини можливе застосування методики регіонарного тромболізису – встановлення катетера в зону тромбозу та введення речовин, що розчиняють тромб (тромболітиків) безпосередньо у зону тромбозу. Це дозволяє досягти часткового або повного розчинення тромбу та зменшити дозу тромболітичних препаратів.
Наведений перелік ендоваскулярних методик далеко не повний. На сьогоднішній день ендоваскулярна хірургія є галуззю медицини, що найбільш динамічно розвивається, і список лікувальних, профілактичних і діагностичних ендоваскулярних методик постійно поповнюється.

АНГІОГРАФІЯ

Pентгенівське дослідження судин (найчастіше артерій або вен), що дозволяє визначити місце звуження або закупорки судини, місце і ступінь патологічного розширення судин (аневризму), наявність внутрішньої кровотечі, ступінь поширення пухлинного процесу та інші хвороби, які виявити іншим шляхом не вдається.
Послідовність виконання:
Спеціальною голкою роблять пункцію артерії чи вени, найчастіше в області паху, за необхідності - в області шиї, плеча або кисті. У судину проводять спеціальним чином вигнуту пластикову трубку – катетер. Під рентгеноскопічним контролем катетер проводять в цільову судину. В катетер під тиском вводять контрастну речовину, видиму в рентгенівських променях. Заміщаючи на короткий час кров, контрастна речовина поширюється по всій досліджуваній судинній ділянці, роблячи її видимою у рентгенівських променях. Отриману послідовність рентгенограм фіксують з допомогою цифрового відеозапису. Таке дослідження дозволяє виявити багато захворювань судин та внутрішніх органів і є обов'язковим при дослідженні серця, артерій ніг, печінки та інших органів.
Агіографічне дослідження може супроводжуватися короткочасними больовими відчуттями у досліджуваній зоні (реакція на контрастну речовину). Інтенсивність прояву больової реакції індивідуальна та у певних випадках вимагає проведення знеболювальної терапії.
Приклади ангіограм:
стеноз правої ниркової артерії    пухлина підшлункової залози
Ниркова артерія (1), критичне звуження
ниркової артерії, (2) паренхіма нирки (3)
   Артерії: загальна печінкова(1),
праві печінкові (2), ліва печінкова (3),
селезінкова (4), пухлина підшлункової залози (5).


БАЛОННА ДИЛЯТАЦІЯ СУДИНИ (АНГІОПЛАСТИКА)

Відновлення прохідності звужених чи повністю перекритих судин шляхом проведення в зону звуження спеціального балона і роздування його у просвіті судини. Ця методика дозволяє відновити прохідність судини без виконання відкритого хірургічного втручання та застосовується для будь-яких судин людського тіла – голови, серця, нирок, нижніх та верхніх кінцівок.
Послідовність виконання:
До звуженої судини підводиться катетер, виконується ангіографія для уточнення ступеня звуження судини або довжини закритої ділянки. Крізь звужену чи закриту ділянку судини проводиться провідник - інструмент, що нагадує струну з гладким м'яким кінчиком. По провіднику до місця звуження підводиться спеціальний пристрій – балон-катетер. Останній встановлюється таким чином, щоб повністю перекрити звужену ділянку. Довжина та діаметр балона підбирається індивідуально. Балон роздувається, розширюючи і розгладжуючи звужену ділянку. Бляшка або тромб, що викликали звуження, роздавлюються і поступово розподіляються по перерозтягнутій стінці судини. Після деякої експозиції (частіше 1 хвилина) балон здувається, звільняючи відновлену ділянку судини для кровотоку. Для покращання результату надування балона може здійснюватися послідовно кілька разів.
Після видалення балона проводиться повторна ангіографія, що підтверджує ефективність процедури. У разі недостатнього відновлення просвіту судини процедуру можна повторити з балоном більшого діаметру. У багатьох випадках після дилятації залишається невелике звуження (залишковий стеноз), який не заважає нормальному кровотоку.
Приклади ангіограм до та після дилятації:

стеноз лівої клубової артерії    балон, роздутий в зоні стенозу    відновлення отвору клубової артерії
Значний стеноз лівої
наружної клубової артерії
   Балон-катетер,
роздутий в зоні стенозу
   Отвір артерії відновлено на 80%


СТЕНТУВАННЯ СУДИНИ

Дилятація звуженої судини не завжди є ефективною. Звуження судини нерідко бувають еластичними - після здування балона судина знову звужується. Аналогічна ситуація виникає при великих твердих бляшках, які неможливо роздавити балоном, а також при перегині та зовнішньому здавленні судини (найчастіше зв'язкою, пухлиною або іншою судиною).
У цьому випадку показано застосування стенту - спеціальної сітчастої трубки, що армує просвіт судини зсередини і не дає звужуватися в майбутньому.
Стенти розрізняються по довжині і діаметру, фізичним властивостям (ригідні або згинаються), способу установки (саморозширювані або розширювані балоном), покриттю (непокриті, покриті тонкою пластиковою плівкою, покриті спеціальною речовиною, що запобігає гіперплазії інтими судини). У кожному конкретному випадку тип та розмір стента підбирається індивідуально.
В даний час для ендоваскулярного стентування доступні всі судинні басейни людського тіла - від аорти до артерій серця та внутрішньомозкових артерій. У зв'язку із швидким технологічним прогресом можливості цієї методики постійно розширюються.
Послідовність виконання:
До звуженої судини підводять катетер, виконують ангіографію для уточнення ступеня звуження судини або довжини закритої ділянки. Крізь звужену чи закриту ділянку судини проводять провідник, по ньому – балон-катетер та виконують ангіоплаcтику (описання в попередньому параграфі). Якщо результати ангіопластики незадовільні, замість балону в зону звуження по провіднику заводять стент-систему заздалегідь вибраних параметрів і виконують имплантацію стента в зону звуження. За рахунок високої радіальної жорсткості стент відтісняє назовні тромб, бляшку або зовнішнє здавлення і таким чином відновлює отвір судини.
Ангіограми до та після стентування:

стеноз лівої ниркової артерії    балон, роздутий в зоні стенозу    відновлення отвору артерії
Субтотальний стеноз лівої
ниркової артерії
   Балон-катетер зі стентом,
роздутий в зоні стенозу
   Отвір артерії повністю відновлено


ЕМБОЛІЗАЦІЯ СУДИНИ

У деяких випадках потрібно припинити або зменшити кровотік по будь-якій судині, наприклад:
  - доброякісні гіперваскулярні (з посиленим кровотоком) пухлини – фіброміома, гемангіома
  - ділянки патологічно змінених судин – ангіодисплазії
  - клапанна неспроможність яєчкової вени - варикоцеле
  - зони патологічного кровотоку - артеріовенозні шунти, аневризми
  - внутрішні кровотечі - травми селезінки, поранення печінки та інших органів, розрив аневризми
  - злоякісні гіперваскулярні (з посиленим кровотоком) пухлини
Послідовність виконання:
Катетер проводиться в судину, яку необхідно емболізувати. Положення катетера повинно виключати попадання емболізуючих речовин до інших судин. Через катетер в просвіт судини вводяться емболізуючі речовини або пристрої:
- спіралі: вводяться в артерію чи вену, припиняють кровотік у зоні їх установки (стволова емболізація)
- оклюдери (плаги): пристрої спеціальної форми, встановлюються в судину і перекривають її отвір собою. Ефективні в судинах з великим кровотоком, великого діаметру або для лікування патологічних отворів (дефект міжпредсердної або міжшлуночкової перегородки).
- пластикові частинки (емболи) - змішані з рідиною, вводяться в артерію через шприц. Струменем крові заносяться в дрібні судини і застряють у них. Забезпечують закриття великої кількості дрібних артеріальних гілочок (дистальна емболізація).
- емболізуючі рідини (склерозанти) - вводяться в артерію або вену (варикоцеле) і викликають згортання крові в зоні поширення склерозанту. Ефективні в ділянках із слабким кровотоком.
- клеючі речовини: вводяться через катетер в рідкому стані, в судині застигають і припиняють кровотік.
що забезпечує кращий ефект.
Лазерна або радіочастотна венозна абляція: в вену через катетер вводять лазерний світловод або спеціальний радіочастотний пристрій. Лазерне або радіочастотне опромінення спричиняє опік венозної стінки та тромбоз цільової вени. Застосовується для лікування венозної недостатності нижніх кінцівок, варикоцелє, варикозу вен тазу.
Ангіограми до та після емболізації:

міома матки до емболізації    міома матки після емболізації
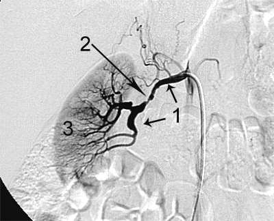
Розширена звивиста ліва маткова артерія (1),
вузол лейоміоми матки (2)
   Після емболізації частками: маткова артерія
збережена (1), лейоміома не контрастується (2).