ГОЛОВНА   >>  ЕНДОВАСКУЛЯРНЕ ЛІКУВАННЯ ІШЕМІЧНОЇ ХВОРОБИ СЕРЦЯ

Що таке ендоваскулярна хірургія

Ендоваскулярне лікування ішемічної хвороби серця

Ендоваскулярне лікування аневризми аорти

Ендоваскулярне лікування атеросклерозу артерій нижніх кінцівок

Ендоваскулярне лікування вазоренальної (ниркової) гіпертонії

Ендоваскулярне лікування фіброміоми (лейоміоми) матки

Ендоваскулярне лікування варикоцеле

Ендоваскулярне лікування варикозу вен тазу

Ендоваскулярне лікування ангіодисплазій

Ішемічна хвороба серця (ІХС) – хронічне захворювання, обумовлене недостатністю кровопостачання серцевого м'яза. У переважній більшості випадків це наслідком атеросклерозу коронарних артерій.
Атеросклероз коронарних артерій - поступове звуження (стеноз) чи повне закриття (оклюзія) коронарних артерій холестериновими бляшками, що утворюються всередині артерій.
Артерії серця
Рисунок 1. Артерії серця

Коронарні артерії - це судини, які безпосередньо забезпечують серце киснем та поживними речовинами (рис.1).
Протягом життя людини у стінках коронарних артерій можуть утворюватися атеросклеротичні бляшки, що складаються з холестерину, жирових відкладень, солей кальцію, що звужують просвіт артерії (рис.1). Коли просвіт стає вузьким, кровотік по цій артерії зменшується і серце не отримує необхідної кількості кисню. Такий стан називається ішемією серця, а болючі відчуття, що випробовуються при цьому, називаються стенокардією або "грудною жабою".
Атеросклеротична бляшка, що звужує просвіт артерії, створює умови для утворення в коронарній артерії кров'яного згустку - тромба. При цьому надходження крові до відповідної ділянки серця може раптово повністю припинитися, і вже через 15 хвилин клітини серцевого м'яза в зоні повного знекровлення починають гинути, а через 6-8 годин вся ця зона омертвіває – розвивається інфаркт міокарда.

СИМПТОМИ ІШЕМІЧНОЇ ХВОРОБИ СЕРЦЯ

Близько однієї третини пацієнтів з ІХС можуть не пред'являти жодних скарг. Інших турбують такі симптоми:
  - біль у грудній клітці, що часто пов'язана з фізичним навантаженням, психоемоційною перенапругою або надходженням холодного повітря в дихальні шляхи;
  - можлива іррадіація болю (її поширення) у ліву руку, спину, нижню щелепу;
   - задишка;
  - серцебиття чи перебої у роботі серця;
   - занепад сил, нездужання;
   - надмірне потовиділення;
   - печія, нудота, блювання.

ДІАГНОСТИКА ІШЕМІЧНОЇ ХВОРОБИ СЕРЦЯ

Щоб уникнути розвитку таких загрозливих ускладнень ІХС як інфаркт міокарда та раптова смерть, необхідно своєчасно діагностувати та правильно лікувати захворювання.
Стенокардія (біль у грудній клітині) - одна із основних ознак захворювання. Тому при виникненні болю в серці слід терміново звернутися до лікаря і виконати ряд додаткових іспедувань:
  - електрокардіографію у спокої;
  - пробу з дозованим фізичним навантаженням на тредмілі чи велоергометрі;
  - лабораторні дослідження для аналізу ризику виникнення інфаркту міокарда;
  - ЕхоКГ: ультразвукове дослідження, за допомогою якого вдається відстежити функціональність клапанів, оцінити рівень кровотоку в коронарних судинах;
  - добове моніторування по Холтеру - використовується для відстеження симптомів ішемії протягом 24 годин, що виникає в певних умовах.
Однак, перелічені дослідження не дають відповіді на три важливі для прогнозу життя хворого питання:
  - які артерії серця уражені атеросклерозом?
  - Де в артерії знаходиться атеросклеротична бляшка?
  - Які розміри атеросклеротичної бляшки, наскільки вона порушує кровоток, наскільки розвинені колатералі (обходні артеральні гілки)?
Єдиним методом, що дозволяє відповісти на ці питання, є коронарографія.

КОРОНАРОГРАФІЯ

Коронарографія - найбільш точний і достовірний метод, що дозволяє "побачити" коронарні артерії та точно визначити місце та ступінь їх звуження. Результати коронарографії дозволяють прогнозувати перебіг захворювання та вибрати найбільш ефективну методику лікування хворого.
В даний час метод є "золотим стандартом" у діагностиці ІХС. Він надійний, безпечний, добре переноситься хворими.
Як виконується коронарографія: Під місцевим знеболенням, у спеціалізованій операційній, оснащеній рентгенангіографічною установкою, роблять прокол (пункцію) артерії. Залежно від умов втручання це може бути:
   - стегнова артерія в області пахвинної складки (стегновий, феморальний доступ)
  - променева артерія у сфері прощупування пульсу (променевий, радіальний доступ).
Наразі більшість коронарографій виконують радіальним доступом.
Потім через спеціальний пристрій (інтродюсер) до артерій серця підводять тонкі катетери. З їхньою допомогою в просвіт коронарних артерій вводять контрастну речовину, що робить артерії видимими під рентгенівськими променями (див. розділ клінічних випадків). При необхідності через катетер проводиться вимірювання тиску в порожнинах серця. Після закінчення дослідження катетер та інтродюсер вилучаються з артерії, на місце проколу накладається стерильна давляча пов'язка, що давить, у випадку стегнового доступу призначається постільний режим до наступного ранку.
Таким чином, лікар отримує можливість точно знайти розташування атеросклеротичної бляшки, визначити ступінь звуження коронарної судини та виробити тактику подальшого лікування.
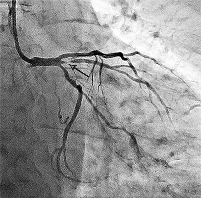
Приклади коронарограм:

стеноз правої коронарної артерії    стеноз лівої коронарної артерії
Звуження (стеноз)
правої коронарної артерії
   Звуження (стеноз) гілки
лівої коронарної артерії.


ЕНДОВАСКУЛЯРНЕ ЛІКУВАННЯ ІШЕМІЧНОЇ ХВОРОБИ СЕРЦЯ
Stent
Рисунок 2. Стент в закритому і розправленому стані

Лікування пацієнтів з ішемічною хворобою серця має бути спрямоване на відновлення кровотоку у серцевому м'язі. Цього можна досягти стентуванням коронарних артерій. Стентування – найбільш сучасний та малотравматичний метод лікування атеросклеротичного звуження коронарних артерій. Він полягає в імплантації стенту у просвіт звуженої ділянки коронарної судини.
Стент (рис. 2) - високотехнологічна металева конструкція, що є гнучкою сітчастою трубочкою. У складеному стані вона за допомогою спеціальних пристроїв доставляється судинним руслом до місця звуження. Розправляючись усередині артерії, стент розсуває її звужені стінки і, як каркас, постійно підтримує в розправленому стані.
Основні етапи стентування:
  - перший етап цієї процедури: коронарографія (описана в попередньому розділі).
Stent
Рисунок 3. Стентування коронарної артерії

  - у просвіт катетера, встановленого в гирлі ураженої артерії, вводять провідник - спеціальний тонкий гнучкий дріт з м'яким кінчиком.
  - за провідником, як по монорейці, до місця звуження судини доставляється балонний катетер. Під тиском 6-14 атмосфер балон роздмухують, розширюючи просвіт звуженої ділянки судини. Потім балонний катетер здувають і видаляють з просвіту судини.
  - у зону звуження, попередньо розглажену балон-катетером, по провіднику доставляють балонний катетер із зафіксованим на ньому стентом. Стент на балоні знаходиться у згорнутому стані (рис. 3-A). Роздуванням балона стент розправляють, притискаючи його до стінок судини (рис. 3-Б)
  - балон здувають та видаляють, а стент залишається на місці, підтримуючи просвіт судини (рис. 3-В)
  - Наприкінці втручання провідник, катетер та інтродюсер видаляють. Пункційний отвір в стінці артерії притискають давлячою пов'язкою.
Тривалість перебування в стаціонарі залежить головним чином від стану пацієнта та швидкості загоєння місця пункції. Для швидкої зупинки кровотечі з стегнової артерії можна використовувати спеціальний оклюдуючий пристрій (AngioSeal або аналогічний).
Отже, ліквідація звуження артерій серця усуває проблему порушення кровопостачання серцевого м'яза і загрозу розвитку гострого інфаркту міокарда.
Найбільш довгостроковий ефект мають стенти із спеціальним лікарським покриттям. Такі стенти покриті особливим полімером, з якого поступово протягом тривалого часу після операції виділяється лікарська речовина, що перешкоджає розростанню (проліферації) тканин судинної стінки всередині стента.
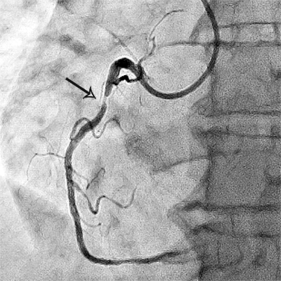
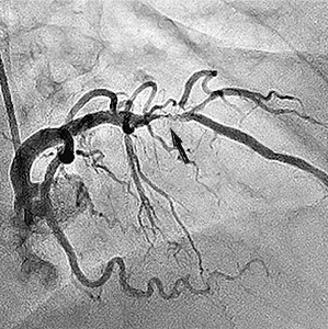
Ангіограми стентування лівої коронарної артерії:

стеноз лівої коронарної артерії    stent    відновлення отвору коронарної артерії
Критичний стеноз лівої коронарної артерії   Розправлений стент    Просвіт артерії відновлено


ПІСЛЯОПЕРАЦІЙНИЙ ПЕРІОД

Відновлення кровотоку в ураженій атеросклеротичній бляшці судині є основним кроком до повернення пацієнтів до нормального життя. Однак, позбавляючи хворих від больового синдрому, стентування не може перешкоджати розвитку атеросклерозу.
Тому після виписки зі стаціонару основні зусилля хворого та лікаря мають бути спрямовані на усунення факторів, що безпосередньо впливають на утворення атеросклеротичних бляшок. До таких факторів належать:
- високий артеріальний тиск;
- паління;
- високий рівень холестерину;
- цукровий діабет;
- недостатня фізична активність;
- стреси;
- надмірна вага.
Вирішальну роль розвитку серцево-судинних захворювань грає спосіб життя. Неправильне харчування, паління, низька фізична активність та постійні стреси руйнівно діють на організм. У наших силах ще до появи перших симптомів захворювання попередити його. Звичайно, є фактори, з якими важко боротися: генетична схильність, вік, супутні захворювання.
І все ж, навіть якщо ви - чоловік похилого віку і у вашого батька було хворе серце, можна досягти колосальних результатів у зниженні ризику розвитку коронарного атеросклерозу.
"Три кити", на яких ґрунтується здоров'я серцево-судинної системи людини:
  - відсутність шкідливих звичок (відмова від паління та помірне вживання алкоголю);
  - фізична активність;
  - правильне харчування.
Критично важливим є беззастережне додержання режиму прийому препаратів, призначених лікарем! Деякі з цих препаратів призначаються пожиттєво і направлені на запобігання рецидиву стенокардії або інфаркту.



Одним із піонерів впровадження ендоваскулярних методів діагностики та лікування ішемічної хвороби серця є Національний науковий центр хірургії та трансплантології ім. А.А. Шалімова.
Нині в Центрі на рік виконується близько 800 коронарографій та понад 300 стентувань коронарних артерій.
Лікарі відділу ендоваскулярної хірургії проходять регулярне стажування у закордонних центрах інтервенційної кардіології. Результати наукових праць, що представлені на українських та зарубіжних симпозіумах, високо оцінені фахівцями.
На базі відділення ендоваскулярної хірургії Національного наукового центру хірургії та трансплантології організовано курси післядипломної освіти, де проходять підвищення кваліфікації спеціалісти з інших ендоваскулярних центрів України та близького зарубіжжя.
Запис на консультацію з приводу лікування ішемічної хвороби серця по тел. (044) 4082734