ГОЛОВНА   >>  ЕНДОВАСКУЛЯРНЕ ЛІКУВАННЯ АНЕВРИЗМИ АОРТИ

Що таке ендоваскулярна хірургія

Ендоваскулярне лікування ішемічної хвороби серця

Ендоваскулярне лікування аневризми аорти

Ендоваскулярне лікування атеросклерозу артерій нижніх кінцівок

Ендоваскулярне лікування вазоренальної (ниркової) гіпертонії

Ендоваскулярне лікування фіброміоми (лейоміоми) матки

Ендоваскулярне лікування варикоцеле

Ендоваскулярне лікування варикозу вен тазу

Ендоваскулярне лікування ангіодисплазій

Аорта - це основна, найбільша артерія нашого організму, що з'єднує серце з усіма частинами тіла та внутрішніми органами. У нормі діаметр її становить 2-3 см.
Виходячи з серця, аорта проходить через грудну клітину, де вона носить назву грудної аорти та забезпечує кров'ю голову, верхні кінцівки та органи грудної клітини.
Потім аорта, проходячи діафрагму, спускається в черевну порожнину, де вона називається черевною аортою та кровопостачає всі органи черевної порожнини. У нижньому відділі живота аорта ділиться на дві гілки – клубові артерії, які беруть участь у кровопостачанні органів тазу та нижніх кінцівок. Нормальна аорта схематично зображено на рис. 1а.

ЩО ТАКЕ АНЕВРИЗМА АОРТИ
аневризма аорти
Рисунок 1. А - аорта в нормі,
Б - аневризма грудної аорти, В - аневризма черевної аорти

Аорта - артерія з найвищим тиском крові причому відповідно до пульсації серця тиск у ній змінюється стрибкоподібно та у великих межах. Тому стінки аорти відрізняються особливою міцністю та еластичністю. Однак, через різні фактори, стінка аорти може частково втратити свою міцність. Тоді ослаблена частина стінки аорти починає випинатися, не в силах протистояти високому внутрішньому тиску. Якщо таке розширення перевищує половину діаметра незміненої аорти, його називають аневризмою аорти. Аневризма аорти зустрічається у близько 3% дорослого населення, проте частота її виникнення значно зростає з віком. У чоловіків це захворювання виявляють у 5 разів частіше. Аневризма аорти найчастіше протікає малосимтомно або взагалі без будь-яких симптомів. Однак у зв'язку з небезпекою розриву аневризми, що у більшості випадків призводить до негайної смерті, це захворювання є своєрідним "дамокловим мечем". У США від розривів та післяопераційних ускладнень аневризм черевної аорти помирає до 15 000 осіб на рік, при цьому від 30 до 50% пацієнтів гине від розриву аневризм черевної аорти до надання медичної допомоги. Аневризма черевної аорти займає 15-е місце серед усіх причин смерті і 10-е місце серед причин смерті у чоловіків старше 60 років. Серед видатних людей, які померли від розриву аневризми аорти вчений Альберт Ейнштейн, артисти Кирило Лавров і Георгій Юматов, комік Харві Корман, маг Юрій Лонго, поет і бард Геннадій Жуков.

КЛАСИФІКАЦІЯ АНЕВРИЗМ АОРТИ

Залежно від величини ураження аневризми аорти поділяються на:
  - веретеноподібні - стінка слабшає рівномірно по всьому колу аорти, тому випинання відбувається симетрично на значній ділянці. Уражена частина аорти набуває вигляду веретена або симетричного овалу.
мішотчата аневризма аорти    веретеноподібна аневризма аорти
Мішотчата аневризма
грудної аорти
   Веретеноподібна аневризма
черевної аорти

  - мішотчасті - стінка уражається на відносно невеликій, локальній ділянці, тому розширення набуває вигляду мішечка і як правило асиметрично.
Асиметричні мішчасті аневризми більш схильні до прогресування та розриву, ніж веретеноподібні. Залежно від місця ураження аневризми аорти поділяються на:
   - аневризма черевного відділу аорти - найчастіше розташування, зустрічається в 75% випадків аневризм аорти.
  У свою чергу поділяється на кілька типів залежно від ступеня залучення до патологічного процесу клубових артерій.
  - аневризма грудного відділу аорти - зустрічаються рідше, проте важчі для діагностики та лікування.
Поділяються на
  - аневризми висхідної частини аорти (ділянка аорти, що йде від серця догори)
  - аневризми дуги аорти (ділянка перегину аорти, де вона віддає гілки до голови та рук)
  - аневризми нисхідної частини аорти (ділянка грудної аорти, де вона йде донизу)

ПРИЧИНИ ВИНИКНЕННЯ АНЕВРИЗМ АОРТИ

Найчастіше причиною ослаблення стінки аорти є атеросклероз (90-96% всіх випадків аневризм).
Крім того, до виникнення аневризми можуть призвести запальні захворювання – третинний сифіліс (сифілітичні аневризми грудної аорти), грибкові захворювання (мікотичні аневризми), аорто-артеріїт. Причиною аневризми аорти може стати вроджене системне захворювання, у якому уражається сполучна тканина (надає міцність всім структурам організму), наприклад синдром Марфана чи Елерса-Данло чи вроджені вади розвитку (коарктація аорти).
Найрідкісніша причина - травма стінки аорти внаслідок проникаючого поранення чи закритої травми (автоаварія). Такі аневризми є результатом крововиливу в навколишні тканини, а не випинання стінки аорти, тому називаються хибними аневризмами і вимагають негайного лікування незалежно від розмірів.
Підвищений артеріальний тиск значно прискорює прогрес аневризми аорти.

ОСНОВНІ ЧИННИКИ РИЗИКУ РОЗВИТКУ АНЕВРИЗМИ АОРТИ

Чоловіча стать: 5-кратний ризик
У чоловіків аневризма аорти зустрічається в 5 разів частіше (як і атеросклероз в цілому).
Паління: 5-кратний ризик
75% пацієнтів з аневризмою черевної аорти 4 см і більше – курці. Ризик виникнення аневризми черевної аорти збільшується залежно від стажу паління і щоденної кількості сигарет, що випалюються.
Вік понад 50 років: 1.7-кратний ризик.
Наявність аневризм у членів сім'ї: 2-кратний ризик.
Від 15 до 25% пацієнтів з аневризмою черевної аорти мають родича першого ступеня з таким же захворюванням.
Ризик розриву аневризми збільшується при артеріальній гіпертонії, наявності хронічних захворювань легень, певних формах аневризматичного мішка (симетричні аневризми менше схильні до розриву, ніж асиметричні). Однак основний фактор ризику розриву аневризми – розмір аневризматичного мішка.
Смертність при аневризмі черевної аорти з діаметром 4 см менше 5% на рік, а смертність при аневризмі більше 9 см становить більше 75% на рік.

ДІАГНОСТИКА АНЕВРИЗМИ АОРТИ

Неускладнена аневризма аорти мало- або безсимптомна. Саме тому дуже важливо вчасно запідозрити це захворювання. Наявність будь-якого пульсуючого болю в животі, грудях або хребті, відчуття пульсації, особливо в чоловіка після 50 років, у поєднанні з підвищеним тиском та іншими вищевказаними факторами ризику вимагає обов'язкового обстеження, спрямованого на виключення аневризми аорти.
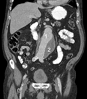
аневризма аорти
Рисунок 2. Комп'ютерна томографія:
1 - зона вільного кровотоку,
2 - тромбована частина аневризми

Первинне клінічне обстеження:
   - Відчуття пульсації під час промацування живота. Пульсацію досить великої аневризми видно в лежачому положенні, особливо в худих пацієнтів (пульсуючий живіт).
  - Шуми над аортою при аускультації. Деформація аорти викликає турбулентні, вихрові потоки крові, які виявляються стетоскопом як пульсуючі шуми над аортою. Клінічне обстеження дає змогу тільки запідозрити аневризму аорти. Більш інформативними є інструментальні методи дослідження:
   - доплерографія (дуплексне сканування, УЗДГ): дає змогу виявити порожнину аневризми, стан її стінок, наявність тромбів у її порожнині, інтенсивність кровотоку.
   - ангіографія: дає змогу виявити деформацію аорти та її гілок, однак справжні розміри аневризми не завжди видно у зв'язку з можливою наявністю пристінкового тромбозу порожнини аневризми (рис. 2).
  - комп'ютерна томографія (КТ) з контрастним посиленням: дає змогу точно виявити межі та форму аневризми й незмінених відділів аорти, обчислити розміри аорти та прилеглих артерій, оцінити ступінь їхньої звивистості. Одна з найбільш інформативних діагностичних методик, абсолютно необхідна для правильного підбору стент-графту.

ЛІКУВАННЯ АНЕВРИЗМИ АОРТИ

Ефективних консервативних методик лікування аневризми аорти не існує. Профілактичні заходи - лікування основного захворювання, що може призвести або призвело до виникнення аневризми, наприклад:
  - при атеросклерозі аорти - дієтотерапія, лікування статинами;
  - у разі запальних захворювань стінки аорти: антибактеріальна або антигрибкова терапія, протизапальне лікування.
Велике значення має відмова від куріння, корекція зайвої ваги та підвищеного артеріального тиску.
Динамічне спостереження.
Показано при аневризматичному розширенні менш як 1,5 діаметра нормальної аорти без симптомів і тенденції до збільшення. Виконуються періодична інструментальна діагностика (доплер), застосовуються вищевказані профілактичні методи.

Відкрита операція - протезування аорти.
аневризма аорти
Рисунок 3. Відкрите протезування аорти:
А - вшивання протезу,
Б - закріплення стінкою резекованої аорти

Первинне клінічне обстеження:
Методика розроблена в 50-х роках минулого століття, проте досі залишається «золотим стандартом» лікування аневризми аорти.
Перебіг операції: хірург виконує доступ до пошкодженої ділянки аорти через грудну або черевну порожнину, після виділення та перетискання аорти спеціальними інструментами пошкоджену ділянку аорти видаляють, замість неї вшивають судинний протез - трубку зі спеціальної тканини, яка володіє еластичними характеристиками, порівнянними зі стінкою незміненої аорти, та яка замінює пошкоджену ділянку судини (рис. 3).
Протез може бути лінійним (тканинна трубка певного діаметра) або біфуркаційним (трубчаста конструкція, що нагадує штани, замінює кінцеву частину черевної аорти та клубові артерії).
Пацієнт залишається в клініці до загоєння рани на шкірі, реабілітаційний період триває кілька місяців.
Переваги:
  - великий накопичений досвід виконання таких втручань і пов'язана з цим більша надійність методики (5-річна прохідність протеза понад 90%)
  - ширший спектр застосування - можливість виконати на будь-якій ділянці аорти, зокрема і з відновленням артеріальних гілок, які відходять в ушкодженій ділянці (наприклад, у разі втягнення в аневризму ниркових артерій їх відсікають від мішка аневризми, а потім вшивають у протез).
Недоліки:
  - широкий, травматичний хірургічний доступ до аорти (особливо при аневризмах грудної аорти)
  - необхідність перетискання аорти на час вшивання протеза, при цьому страждають органи, кровотік до яких тимчасово припиняється.
  - можливість ускладнень, характерних для всіх відкритих операцій (нагноєння, кровотеча)
  - висока небезпека виконання у хворих похилого віку і з важкими супутніми захворюваннями.
Середня госпітальна летальність при «відкритій хірургії» 3,8-8,2%, за наявності ішемічної хвороби серця, хронічних хвороб легень, хронічної ниркової недостатності летальність подвоюється.

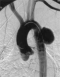
Ендоваскулярна операція - встановлення стент-графту
аневризма аорти
Рисунок 4. Ендопротезування аорти:
А - виведення стент-графту,
Б - стент-графт розправлено
аневризма аорти
Рисунок 5. Аневризма черевної аорти:
А - до втручання, Б - встановлено стент-графт

Сенс втручання в ізолюванні мішка аневризми від кровотоку спеціальним пристроєм - стент-графтом. При цьому кровотік залишається всередині стент-графта, а порожнину аневризми, що знаходиться між зовнішньою поверхнею стент-графта і зміненою стінкою аорти, виключають із кровотоку. Це призводить до тромбозу порожнини аневризми (кров, що перебуває без руху, самостійно тромбується через короткий проміжок часу) з подальшим заміщенням сполучною тканиною.
Стент-графт - поєднання судинного ендопротеза зі стентом, являє собою трубку з ПТФЕ (політетрафторетилен), яку утримує в розкритому стані складний дротяний каркас, що нагадує пружний стент великого діаметра. Як і судинний протез, стент-графт може бути лінійним або біфуркаційним (конструкція, що за формою нагадує штани). У складеному стані стент-графт уміщається в трубку відносно невеликого діаметра, а в розкритому стані - повинен максимально відповідати незміненим ділянкам артерій, до яких прилягає. Підбір або виготовлення стент-графта здійснюється суто індивідуально згідно з даними комп'ютерної томографії або інших досліджень, що дають змогу індивідуально змоделювати ділянку аорти, що підлягає втручанню.
Хід операції: ендоваскулярний хірург через невеликий розріз стегнової артерії (частіше правої) вводить в аорту систему доставки - трубку зі стент-графтом у складеному стані. Під рентгенконтролем стент-графт максимально точно підводять до ділянки аневризми і розкривають таким чином, щоб обидва кінці графта щільно прилягали до незмінених ділянок аорти, забезпечуючи повну герметизацію мішка аневризми. Систему доставки видаляють, розріз артерії та шкіру зашивають.
За необхідності ізолювати не тільки аорту, а й змінені клубові артерії (а така необхідність виникає за більшості аневризм черевної аорти), використовують біфуркаційний стент-графт. Методика його встановлення дещо складніша і потребує хірургічного мінідоступу як до лівої, так і до правої стегнових артерій.
Пацієнт перебуває в клініці 2-3 дні, тривала реабілітація не потрібна.
Переваги:
  - мініінвазивність - відсутність великого розрізу, масивної крововтрати і пошкодження прилеглих органів і структур.
  - пов'язана з цим можливість виконання у літніх пацієнтів і за наявності важкої супутньої патології
   - відсутність післяопераційних ускладнень
Недоліки:   - можливість підтікання. У деяких випадках не вдається повністю герметизувати порожнину аневризми, і в неї продовжує надходити кров. Невелике підтікання не впливає на результати операції, значне - потребує проведення додаткових ендоваскулярних втручань.
   - необхідність довічного періодичного медичного контролю та прийому певних препаратів.



В Україні найбільший досвід виконання ендопротезування аневризм аорти накопичений у Національному науковому центрі хірургії та трансплантології ім. О.О.Шалімова. У відділі ендоваскулярної хірургії за 25 років виконано більше 200 втручань як на черевному, так і на грудному відділах аорти.
Результати ендоваскулярного ендопротезування аневризм аорти висвітлено в численних публікаціях у спеціалізованій періодиці, лекціях, доповідях, виступах на ТБ, газетних статтях. Отримані позитивні результати дають нам змогу рекомендувати цю методику для широкого впровадження в Україні.
Запис на консультацію з приводу лікування аневризми аорти по тел. (044) 4082734